
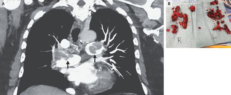
A 64-year-old man presented to the emergency department with a 2-week history of worsening shortness of breath. He had been in good health previously and had not undergone recent surgeries or had periods of prolonged immobilization. The oxygen saturation was 84% while he was breathing ambient air, and the blood pressure was 156/103 mm Hg. A physical examination was notable for swelling of the right calf. An electrocardiogram showed extreme right-axis deviation and T-wave inversions in the lateral leads. Computed tomography of the chest showed thrombus in both the right and left pulmonary arteries (Panel A, arrows), as well as a linear density in the right ventricle. Transthoracic echocardiography confirmed the presence of a 6-cm thrombus in the right ventricle Duplex ultrasonography showed extensive deep venous thrombosis in the right leg. The patient underwent surgical thrombectomy, which resulted in reduction of an extensive clot burden (Panel B). He did well postoperatively and was treated with apixaban. At a follow-up visit 1 month after surgery, his oxygen saturation was 94% while he was breathing ambient air, and he had improving exercise capacity.
What was the underlying condition which caused the thrombi to form??