Feed
Library
Learning
Discuss
Leaderboard
Journal
Sign in
Login
Sign up
Sign in
Feed
Library
Learning
Discuss
Leaderboard
Journal
Dr Nagendra Singh
almost 8 years ago
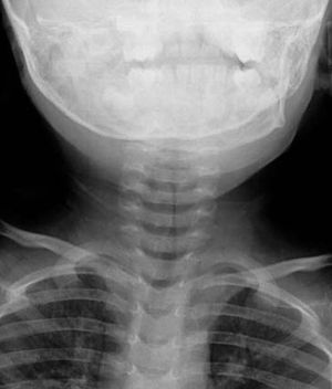
Which sign it is ?
Medicine
Medstudent
Medical
7
2
1
Top rated comment
Doctor
almost 8 years ago
Steeple sign??
1
Reply
Dr Nagendra Singh
almost 8 years ago
Yeah right dr. ))
1
Other comments
Sign in
to post comments. You don't have an account?
Sign up now!
Related posts
Breastfeeding and Medications II
Medical Symptoms I
Preparation for USMLE
Cellulitis, gangrene
Effects of sugar on teeth
Chest X-Rays
Suturing
Acne
Neurofibromatosis
Recent MCQs
Show more MCQs
Recent flashcard sets
Show more flashcards
Feed
Learn
Add
Search
Discuss