MEDizzy
MEDizzy
Medicine
Medicineover 6 years ago
Describe the picture

Describe the picture

What do you see?

19
Top rated comment
over 6 years ago

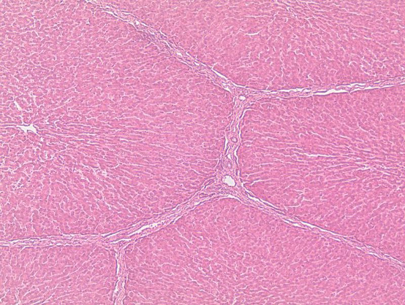
Hepatic lobules with 6 aspects and a central vein in middle

over 6 years ago

And the portal triad

Other commentsSign in to post comments. You don't have an account? Sign up now!
over 6 years ago

Hepatic lobes ?

over 6 years ago

*lobules

over 6 years ago

Hepatic lobules

over 6 years ago

Yep

over 6 years ago

Classis hepatic lobules with vein in center and it is hexagonal shape at every corner there are 3 structure artery vein nd bile duct

over 6 years ago

Also called the portal triad. Good job!

Recent MCQs

β€Œ
β€Œ

β€Œ
β€Œ

β€Œ
β€Œ

β€Œ
β€Œ

β€Œ
β€Œ
Show more MCQs

Recent flashcard sets

β€Œ
β€Œ

β€Œ
β€Œ

β€Œ
β€Œ

β€Œ
β€Œ

β€Œ
β€Œ
Show more flashcards