Feed
Library
Learning
Discuss
Leaderboard
Journal
Sign in
Login
Sign up
Sign in
Feed
Library
Learning
Discuss
Leaderboard
Journal
Nuclear Medicine
almost 8 years ago
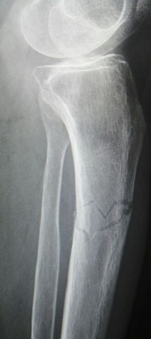
Xray
Fracture
Tibia
4
1
2
Top rated comment
Hemanth Reddy
almost 8 years ago
Comminuted fracture.
1
Reply
Other comments
Sign in
to post comments. You don't have an account?
Sign up now!
Related posts
Alveolar Fracture
Impacted tooth and fracture
Hemodynamic stimuli&nonhemodynamic stimuli
Fracture of alveolar process
Fracture of maxillary tuberosity
Naso Orbital Ethmoid fracture
Plating of mandible fracture
Intraoral incision with percutaneous cannula
Surgical Wiring for Mandible Fracture Stabilization
Chest X-Rays
Recent MCQs
Show more MCQs
Recent flashcard sets
Show more flashcards
Feed
Learn
Add
Search
Discuss