Feed
Library
Learning
Discuss
Leaderboard
Journal
Sign in
Login
Sign up
Sign in
Feed
Library
Learning
Discuss
Leaderboard
Journal
Zunaira saleh
12 months ago
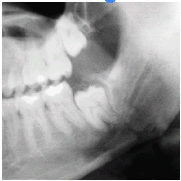
Impacted tooth and fracture
Fracture of a mandible, which occurred through the location of an impacted third molar.
Medizzy
Fracture
Impwction
0
0
0
Other comments
Sign in
to post comments. You don't have an account?
Sign up now!
Related posts
Dry mouth;caries
Sjögrens syndrome
Symptoms of Sjögrens syndrome
Symptoms of Sjögrens syndrome
Auriscope
Mast cell after exposure to allergen
Mast cell after further exposure to allergen
Nasal polyp
Severe upper airway obstruction
Gelatine Sculpt | Official Website
Recent MCQs
Show more MCQs
Recent flashcard sets
Show more flashcards
Feed
Learn
Add
Search
Discuss