Feed
Library
Learning
Discuss
Leaderboard
Journal
Sign in
Login
Sign up
Sign in
Feed
Library
Learning
Discuss
Leaderboard
Journal
Atefe
almost 7 years ago
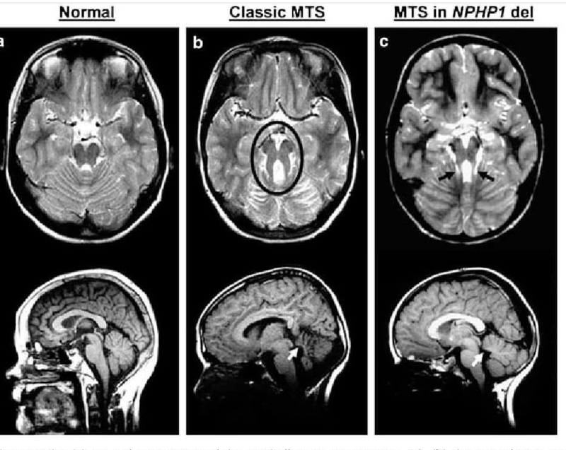
Joubert syndrome
Eye
Syndrome
Ct
Scan
Brainstem
show 12 more
7
0
1
Other comments
Sign in
to post comments. You don't have an account?
Sign up now!
Related posts
Crouzon's syndrome
Treacher collin’ s syndrome
Treacher collin’ s syndrome
Symptoms of Acute Nephritic Syndrome
Sjögrens syndrome
Symptoms of Sjögrens syndrome
Symptoms of Sjögrens syndrome
Poland Syndrome
Mouth Syndromes
Restless Legs Syndrome
Recent MCQs
Show more MCQs
Recent flashcard sets
Show more flashcards
Feed
Learn
Add
Search
Discuss