Feed
Library
Learning
Discuss
Leaderboard
Journal
Sign in
Login
Sign up
Sign in
Feed
Library
Learning
Discuss
Leaderboard
Journal
DR MOHAMMED IRFAN SHEIKH
about 1 month ago
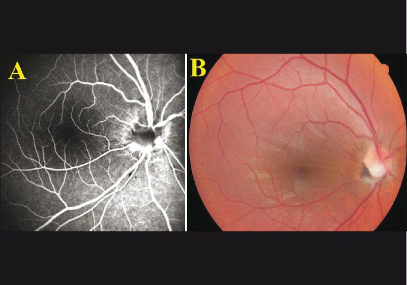
(A) Fluorescein angiography and (B) fundus photo revealing choroidal folds and partial optic nerve avulsion on the 20th day after the trauma
Medicine
Medstudent
Medical
Mbbs
Mbbs Medical Life
show 3 more
23
0
4
Other comments
Sign in
to post comments. You don't have an account?
Sign up now!
Related posts
Breastfeeding and Medications II
Medical Symptoms I
Preparation for USMLE
Cellulitis, gangrene
Identify the Test
Effects of sugar on teeth
Chest X-Rays
Suturing
Acne
Neurofibromatosis
Recent MCQs
Show more MCQs
Recent flashcard sets
Show more flashcards
Feed
Learn
Add
Search
Discuss