MEDizzy
MEDizzy
Jafar Aziz
Jafar Aziz over 6 years ago
Nice X-ray

Nice X-ray

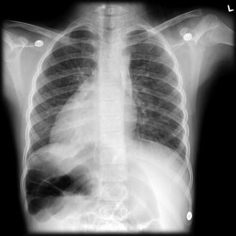
See the x-ray and give me the finding and what's your diagnosis

26
Top rated comment
over 6 years ago

Dextrocardia

Other commentsSign in to post comments. You don't have an account? Sign up now!
over 6 years ago

Situs inversus

over 6 years ago

Dextrocardia

over 6 years ago

Situs invertus

over 6 years ago

Dextrocardia

over 6 years ago

Dextrocardia is a rare heart condition in which the heart points toward the right side of the chest instead of the left side.

over 6 years ago

Dextrocardia

over 6 years ago

Dextracardia

over 6 years ago

Dextrocardia

over 6 years ago

Dextrocardia

12

Recent MCQs















Show more MCQs

Recent flashcard sets















Show more flashcards