Feed
Library
Learning
Discuss
Leaderboard
Journal
Sign in
Login
Sign up
Sign in
Feed
Library
Learning
Discuss
Leaderboard
Journal
Ahmed Abdali
over 6 years ago
Medicine
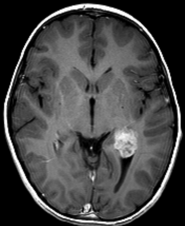
What is shown there ? I am a a medical student Please could somebody help ?
Medicine
Surgeon
Neurology
Medicalstudent
Study
show 2 more
2
1
0
Top rated comment
Geeta Hunnurkar
over 6 years ago
I think its tumor
0
Reply
Other comments
Sign in
to post comments. You don't have an account?
Sign up now!
Related posts
Buccal space infection
Breastfeeding and Medications II
Dandy Walker Malformation | Diagnosis symptoms and treatment
2-Minute Neuroscience: Brain Aneurysms
Seizures (Epilepsy) Nursing NCLEX: Tonic-Clonic, Generalized, Focal, Symptoms
Stroke: Causes, Risk Factors, Treatment, and Prevention | Mass General Brigham
Neurofibromatosis
Absence seizures
Symptoms of absence seizures
Recent MCQs
Show more MCQs
Recent flashcard sets
Show more flashcards
Feed
Learn
Add
Search
Discuss