
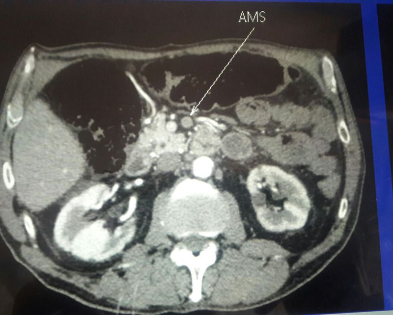
76-year-old patient with complete arrhythmia with untreated atrial fibrillation acute umbilical abdominal pain since 24 hours diffuse abdominal defense free hernias TA: 95/65 - irregular pulse: 90 / min - Hb: 14g / l - serum creatinine: 150mmol / l RA: 18 - blood lactates: 5mmol / What's your diagnosis? And why?