
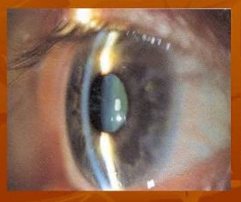
Angle closure is defined as the apposition of iris to the trabecular meshwork, which results in increased intraocular pressure (IOP). In acute angle closure (AAC), the process occurs suddenly with a dramatic onset of symptoms, including blurred vision, red eye, pain, headache, and nausea and vomiting. The sudden and severe IOP elevation can quickly damage the optic nerve, resulting in acute angle-closure glaucoma (AACG). AAC is a true ophthalmic emergency, and a delay in treatment can result in blindness. While immediate treatment can sometimes minimize the amount of visual loss, the best treatment is to stop its occurrence in susceptible individuals.