MEDizzy
MEDizzy
Murad
Muradalmost 7 years ago
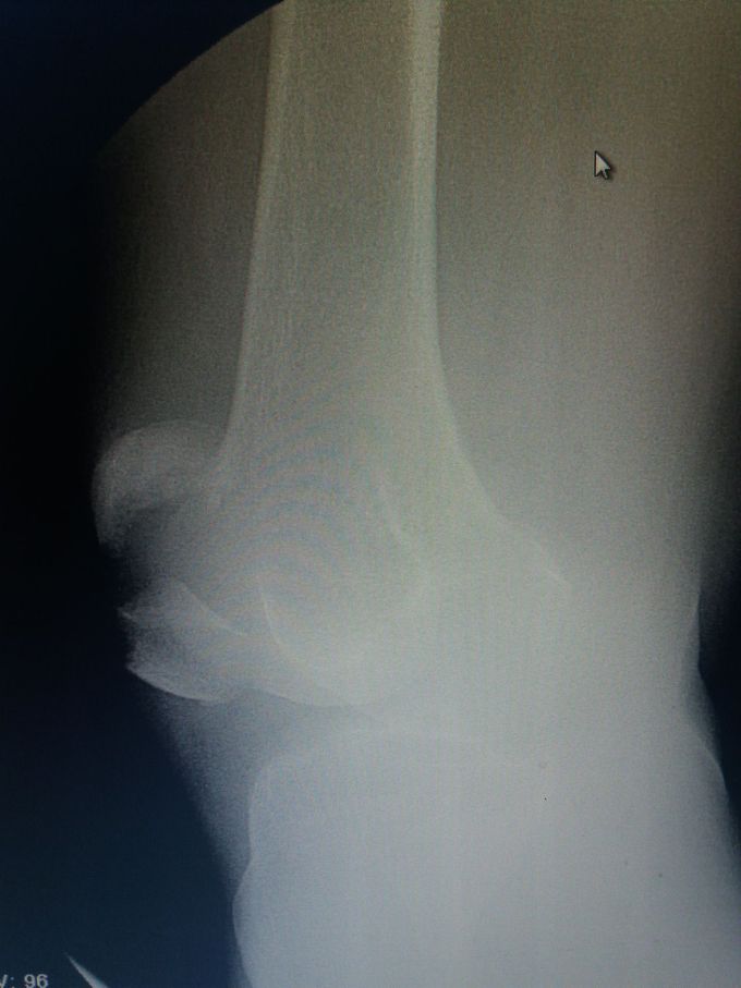
Fracture of patella

Fracture of patella

Fracture of patella

16
Top rated comment
almost 7 years ago

Yes, transverse fracture of Patella, k-wire in a Figure 8 under imaging would do. Great bone density, young patient ?

almost 7 years ago

@Murad, how about his general health? His bones look good to me, am i right ?

almost 7 years ago

No patient 57 year old !

Other commentsSign in to post comments. You don't have an account? Sign up now!

Recent MCQs















Show more MCQs

Recent flashcard sets















Show more flashcards