
Kartagener syndrome is a type of primary ciliary dyskinesia that is also characterized by situs inversus totalis (mirror-image reversal of internal organs). The signs and symptoms vary but may include neonatal respiratory distress; frequent lung, sinus and middle ear infections beginning in early childhood; and infertility.It can be cause by changes (mutations) in many different genes that are inherited in an autosomal recessive manner. Although scientists have identified many of the genes associated with Kartagener syndrome, the genetic cause of some cases is unknown.There is no cure for Kartagener syndrome. Treatment varies based on the signs and symptoms present in each person but may include airway clearance therapy and antibiotics.
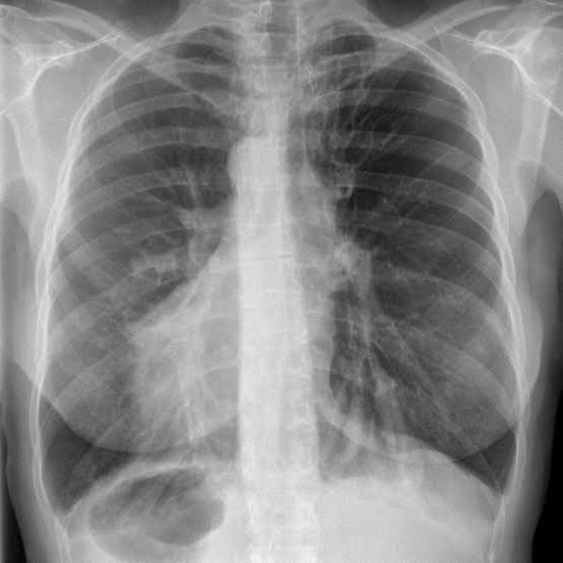
also there was this time when some one asked me why the right crus of diaphram is higher than the left.....confidently i said.. because there is the liver....he confidenlty replied back WRONG.....later i found out that its becoz the heart pushes the left crus down...why?becoz in cases of situs inversus and dextrocardias...the right crus lies lower..as seen in the x ray posted
many years ago a guy named seiwert found a case with situs inversus ,sinusitis and brochiectasis ..later kartagener named the triad ..kartageners syndrome (primart immotile cilia syndrome)...anatomically and physiologically the ear , respiratory , sinus problems are relatable..