
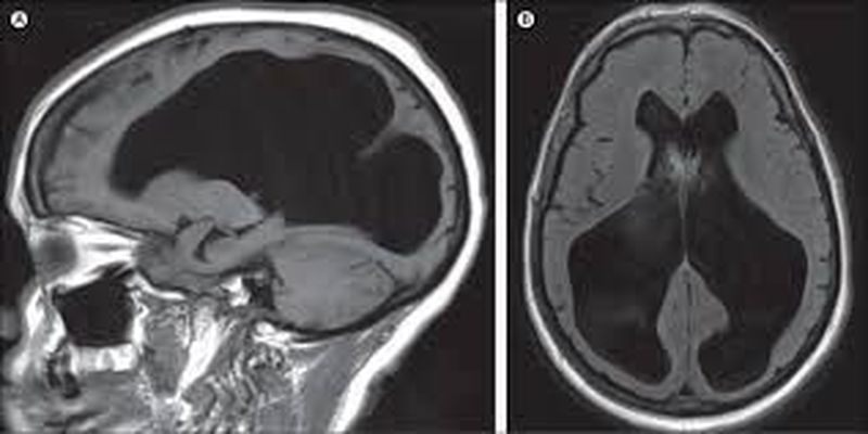
Hydrocephalus is a condition in which an accumulation of (CSF) occurs within the brain.
anything that blocks the drainage or increases the production of csf abnormally ......u can name as many cause as u want ......3rd ventricle cysts ,tumors of choroid plexus,tumors at mid brain, tumors blocking foramen magendie or lushka esp when it involves cerebellum, TB ,rbc proteins bacterias clogging the drainage to dural venous sinus , age (calcified and more arachnoid granulations, obstruction after DVS (you can relate the causes with communicating and non communicating hydrocephalus) also refer queckenstedt sign ....now hydrocephalus ex vacuo u say..hmm ..basically the word means false hydrocephalus..meaning the ventricles appear larger when comparing it to surrounding brain substance. why?...well ofcorse becoz the brain substamce shrinked ..one cause of false hydrocephalus is Huntington chorea where u have(not u) caudate degeneration..so small striatum making ventricles look bigger...plus there cud b other reasons..........let me tell something interesting...i saw this child with biggggg head ..pretty weird ...a small boy...then , i didnt know a word called hydrocephalus existed loool...and then (later) i found out that the circumventrucular organ (sub commisural) was involved in synthesizing Glycoproteins called reisners fibres that was concerned with patency of the sylvian aqueduct which when not made could predipose to hydrocephalus in small ones...medicine is interesting right...correct me if m wrong..