
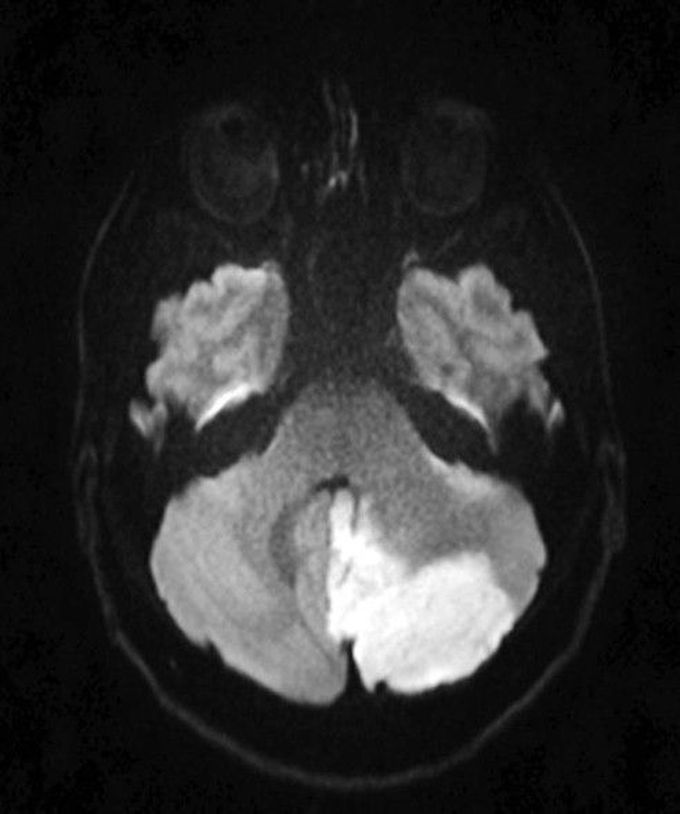
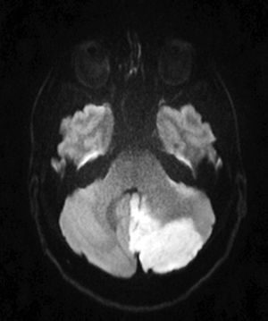
This cerebellar infarction is most likely to be caused by: A)Cervical left vertebral artery dissection B)Thrombus in the basilar artery C)Extrinsic compression of the left vertebral artery D)Calcified atherosclerotic occlusion of the left vertebral artery