
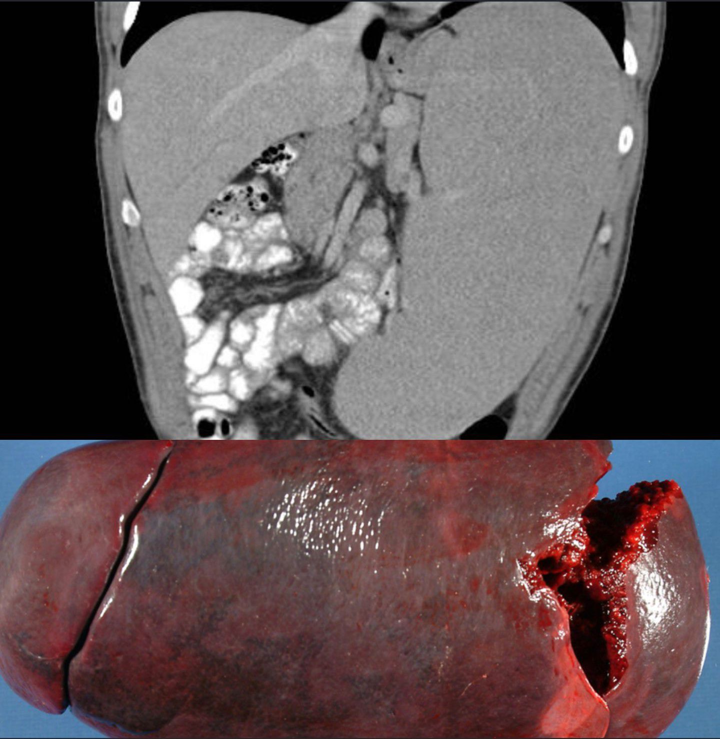
Splenomegaly is a magnification of the spleen. The spleen generally stays in the left upper quadrant (LUQ) of abdomen of human being. It is a one cardinal sign of the four cardinal signs of hypersplenism which is some decreasing in the number of circulating blood cells disturbing erythrocytes , granulocytes, or platelets in any combination. A compensatory proliferative reaction happens in the bone marrow as well as the potential for improvement of these abnormalities by the splenectomy. Splenomegaly is generally related with enhanced workload suggesting that it is a reaction to hyper function. So it is not surprising that it is connected with any disease procedure involving abnormal red blood cells being damaged in the spleen.