Feed
Library
Learning
Discuss
Leaderboard
Journal
Sign in
Login
Sign up
Sign in
Feed
Library
Learning
Discuss
Leaderboard
Journal
sj
samuel jordan
about 2 years ago
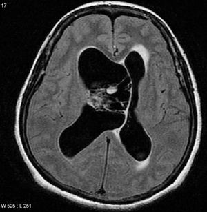
Neurocytomal image of person with abnormal seizure s, hallucinations,aphasia and epidural necrosis
#neuro
Neurology
Neurosurgery
Neuroanatomy
Thanks
563
0
13
Other comments
Sign in
to post comments. You don't have an account?
Sign up now!
Related posts
herniation secondary to raised ICP
Hyperekplexia
Symptoms of Hyperekplexia
Dandy Walker Malformation | Diagnosis symptoms and treatment
2-Minute Neuroscience: Brain Aneurysms
Seizures (Epilepsy) Nursing NCLEX: Tonic-Clonic, Generalized, Focal, Symptoms
Stroke: Causes, Risk Factors, Treatment, and Prevention | Mass General Brigham
Neurofibromatosis
Absence seizures
Symptoms of absence seizures
Recent MCQs
Show more MCQs
Recent flashcard sets
Show more flashcards
Feed
Learn
Add
Search
Discuss