
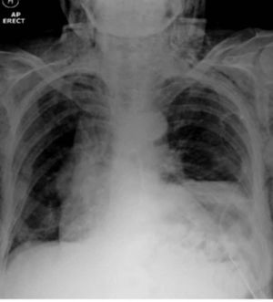
Unilateral left-sided pleural effusions with cardiomegaly may be due to pericardial disease. Im not sure... Therefore when describing pleural effusions please make sure the clinical signs and history match with the xray because pneumonia and pulmonary embolism may also cause pleural effusions in patients with heart failure.