MEDizzy
MEDizzy
Zunaira saleh
Zunaira salehless than a minute ago
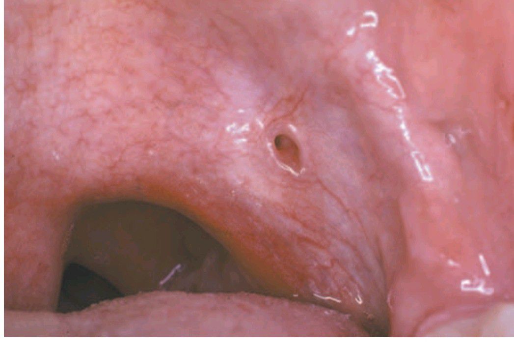
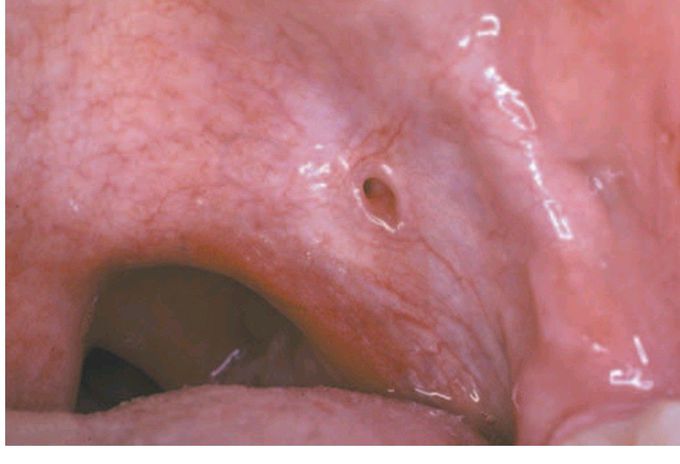
Lateral palatal fistula

Lateral palatal fistula

A small “hole” in the anterior tonsillar pillar — a periodontal probe reveals its communication with the tonsillar fossa.

0
Other commentsSign in to post comments. You don't have an account? Sign up now!

Recent MCQs















Show more MCQs

Recent flashcard sets















Show more flashcards