Feed
Library
Learning
Discuss
Leaderboard
Journal
Sign in
Login
Sign up
Sign in
Feed
Library
Learning
Discuss
Leaderboard
Journal
Paramedic Afiq
almost 7 years ago
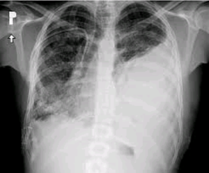
Case study
Your diagnose ?
Emergencymedicine
Paramedic
Traumatology
541
3
2
Other comments
Sign in
to post comments. You don't have an account?
Sign up now!
Eddye Kemp-Whitaker
almost 7 years ago
Collapsed lung, or ?
0
Reply
Rachhan Chey
almost 7 years ago
Pneumothoracique
0
Reply
D
DavidFP
almost 7 years ago
Pleural effusion
0
Reply
Related posts
Important Clinical Signs
Left tympanic membrane traumatic perforation
Aortic dissection management
A 4 year old girl brought to opd by her mother,the child is lethergic with hx of convulsion,temp 38.7,no hx of cough,no hx of difficulty breathing. Impression? Mx?
Sepsis and septic shock
Understanding Lactic Acidosis: Causes, Symptoms & Treatment
Cocaine related Angina
Link your Pre-hospital care topics in the comments for fellow clinicians to explore
Dumb question, but can someone who is smart explain the pharmacodynamics between Salbutamol and Nitroglycerin and a patient in chf, who is clearly sob and has wheezes, would they possibly have any reactions when co-administered together
What are osteoarthritis surgical treatment methods? I know that one of them and probably the most common one is endoprosthesis, but are there any others?
Recent MCQs
Show more MCQs
Recent flashcard sets
Show more flashcards
Feed
Learn
Add
Search
Discuss