MEDizzy
MEDizzy
Zunaira saleh
Zunaira saleh9 months ago
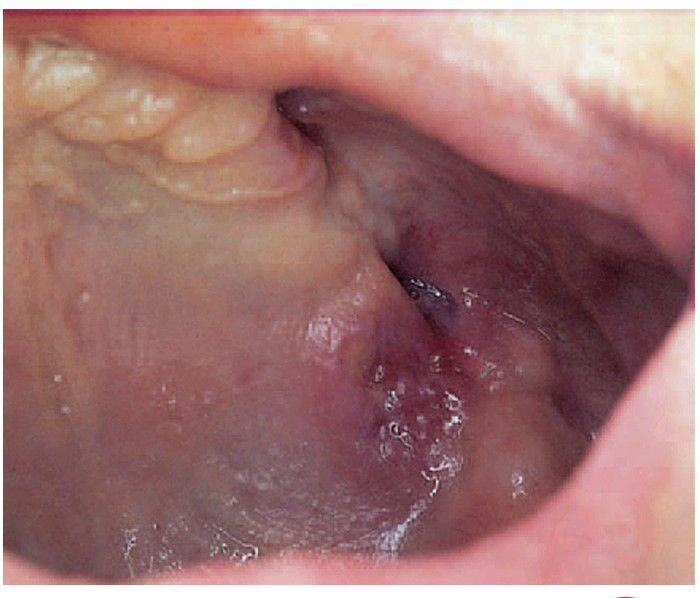
Langerhans cell histiocytosis.

Langerhans cell histiocytosis.

This localised lesion (eosinophilic granuloma) has produced an ulcerated mass on the maxillary alveolar ridge. The clinical appearances are non-specifi c.

2
Other commentsSign in to post comments. You don't have an account? Sign up now!

Recent MCQs















Show more MCQs

Recent flashcard sets















Show more flashcards