MEDizzy
MEDizzy
Zunaira saleh
Zunaira saleh9 months ago
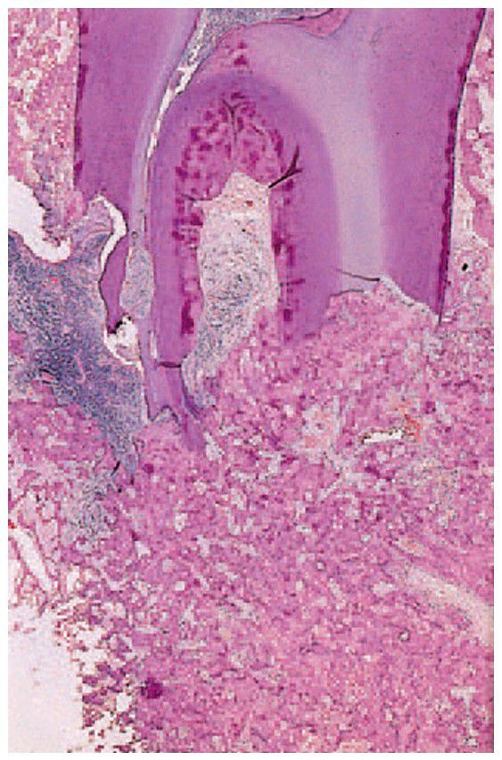
Cementoblastoma

Cementoblastoma

. A dense mass of interconnected trabeculae of osteoid is fused to the resorbed roots of the fi rst permanent molar.

0
Other commentsSign in to post comments. You don't have an account? Sign up now!

Recent MCQs















Show more MCQs

Recent flashcard sets















Show more flashcards