Feed
Library
Learning
Discuss
Leaderboard
Journal
Sign in
Login
Sign up
Sign in
Feed
Library
Learning
Discuss
Leaderboard
Journal
Dr Vijay Sharma
almost 2 years ago
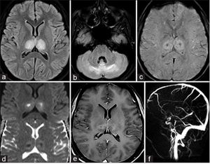
Dengue Doughnut
Dengue doughnut: A diagnostic magnetic resonance imaging finding in dengue encephalitis.
Medicine
Medical
Neurology
Mri
Nephrology
show 3 more
36
0
16
Other comments
Sign in
to post comments. You don't have an account?
Sign up now!
Related posts
Uremia
Preparation for USMLE
Cellulitis, gangrene
Chest X-Rays
Suturing
Acne
Neurofibromatosis
Absence seizures
Symptoms of absence seizures
Symptoms of dengue
Recent MCQs
Show more MCQs
Recent flashcard sets
Show more flashcards
Feed
Learn
Add
Search
Discuss