Feed
Library
Learning
Discuss
Leaderboard
Journal
Sign in
Login
Sign up
Sign in
Feed
Library
Learning
Discuss
Leaderboard
Journal
Dr Vijay Sharma
almost 7 years ago
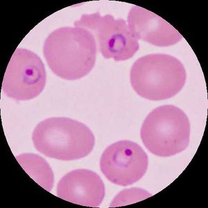
Maleria
This is a maleria parasite under rbc
Medicine
Surgery
Pathology
Physiology
Blood
show 6 more
9
0
4
Other comments
Sign in
to post comments. You don't have an account?
Sign up now!
Related posts
Red hemangioma
Peripheral giant cell granuloma
Peripheral giant cell granuloma
Periapical Pathologies
Surgical process for apicoectomy
Surgical process for apicoectomy
Surgical process for apicoectomy
Condylectomy
Tmj ankylosis grading
Condylectomy
Recent MCQs
Show more MCQs
Recent flashcard sets
Show more flashcards
Feed
Learn
Add
Search
Discuss