MEDizzy
MEDizzy
Zunaira saleh
Zunaira saleh10 months ago
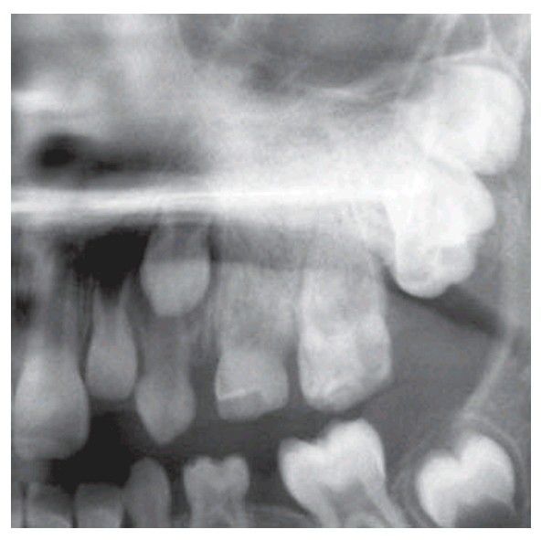
Segmental odontomaxillary dysplasia

Segmental odontomaxillary dysplasia

Segmental odontomaxillary dysplasia showing abnormal upper primary molars that are indistinct against a background of even, coarsely trabecular bone. Permanent successors are absent.

0
Other commentsSign in to post comments. You don't have an account? Sign up now!

Recent MCQs















Show more MCQs

Recent flashcard sets















Show more flashcards