MEDizzy
MEDizzy
Zunaira saleh
Zunaira saleh10 months ago
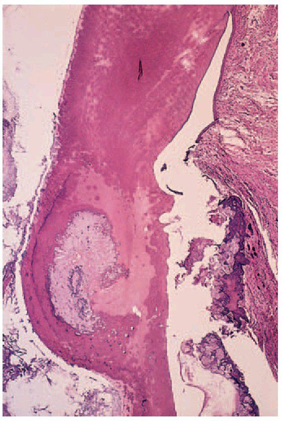
Regional odontodysplasia

Regional odontodysplasia

Regional odontodysplasia showing dysplastic dentine with a disorganised tubule structure, an irregular enamel space and mineralised enamel epithelium.

0
Other commentsSign in to post comments. You don't have an account? Sign up now!

Recent MCQs















Show more MCQs

Recent flashcard sets















Show more flashcards