MEDizzy
MEDizzy
Zunaira saleh
Zunaira saleh8 months ago
Ct scan for sialolith

Ct scan for sialolith

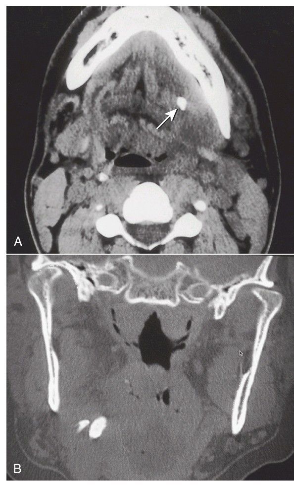
A) Axial computed tomography (CT) scan of the mandible and floor of mouth shows a posterior submandibular sialolith (arrow). (B) Coronal CT scan showing a two stones in the submandibular duct near the gland hilum.

0
Other commentsSign in to post comments. You don't have an account? Sign up now!

Recent MCQs















Show more MCQs

Recent flashcard sets















Show more flashcards