MEDizzy
MEDizzy
Zunaira saleh
Zunaira saleh10 months ago
Central giant cell granuloma treatment

Central giant cell granuloma treatment

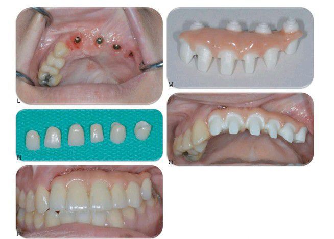
cont’d (N) Individual cement-retained zirconia crowns. (O) Framework in place. (P) Final prosthesis in place with cement-retained crowns.

0
Other commentsSign in to post comments. You don't have an account? Sign up now!

Recent MCQs















Show more MCQs

Recent flashcard sets















Show more flashcards