
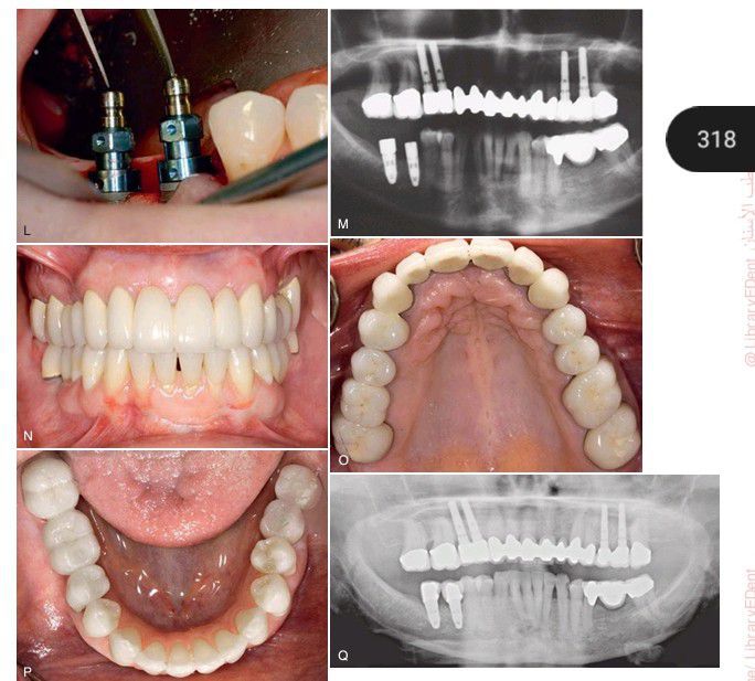
, cont’d (L) Mandibular implant placement. (M) Radiograph after placement of mandibular implants. (N) Frontal view of the completed prosthetics. (O) Occlusal view of the completed maxillary prosthetics. (P) Occlusal view of the completed mandibular prosthetics. (Q) Final radiograph.