MEDizzy
MEDizzy
Zunaira saleh
Zunaira salehabout 1 year ago
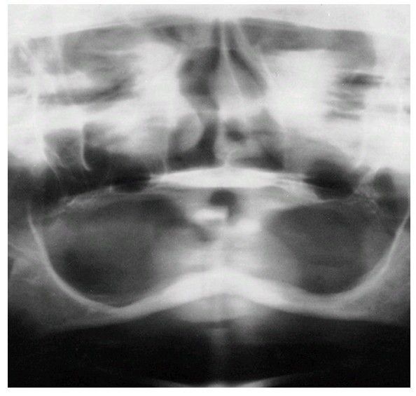
Atrophic ridges

Atrophic ridges

Radiograph demonstrating atrophic mandibular and maxillary alveolar ridges. Pneumatization of the maxillary sinus is demonstrated

0
Other commentsSign in to post comments. You don't have an account? Sign up now!

Recent MCQs















Show more MCQs

Recent flashcard sets















Show more flashcards