
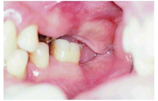
Examination of interarch relationships in proper vertical dimension often reveals lack of adequate space for prosthetic reconstruction. In this case, bony and fibrous tissue excess in the tuberosity area must be reduced to provide adequate space for partial denture construction.