
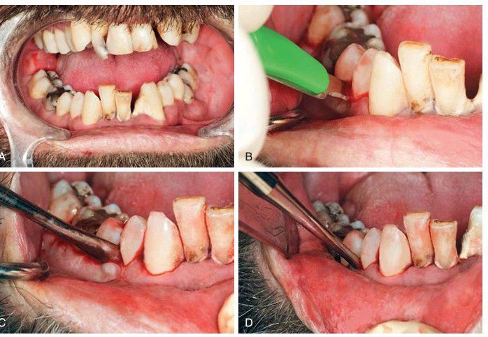
A) This patient’s remaining mandibular teeth are to be extracted. The broad zone of attached gingiva is demonstrated in adequate vestibular depth. (B) After adequate anesthesia is achieved, the soft tissue attachment to teeth is incised with the No. 15 blade. The incision is carried around the necks of the teeth and through the interdental papilla. (C) The periosteal elevator is used to reflect labial soft tissue just to the crest of labioalveolar bone. (D) The small straight elevator is used to luxate teeth before forceps are used. The surgeon’s opposite hand is reflecting soft tissue and stabilizing the mandible. Teeth adjacent to the mandibular canine are extracted f irst, which makes extraction of the remaining canine tooth easier to accomplish.