MEDizzy
MEDizzy
Hunain
Hunainabout 1 year ago
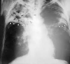
Tuberculosis

Tuberculosis

Tuberculosis is a bacterial infection that is also known as TB. It can be fatal if not treated. TB most often affects your lungs, but can also affect other organs like your brain.

0
Other commentsSign in to post comments. You don't have an account? Sign up now!

Recent MCQs















Show more MCQs

Recent flashcard sets















Show more flashcards