MEDizzy
MEDizzy
Zunaira saleh
Zunaira salehabout 1 year ago
Root amputation

Root amputation

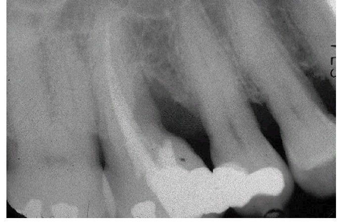
Periapical radiograph showing prior nonsurgical root canal treatment and mesiobuccal root amputation of tooth #3.

0
Other commentsSign in to post comments. You don't have an account? Sign up now!

Recent MCQs















Show more MCQs

Recent flashcard sets















Show more flashcards