MEDizzy
MEDizzy
Zunaira saleh
Zunaira salehabout 1 year ago
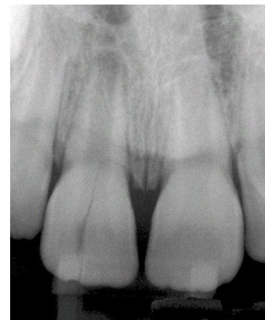
Vertical root fracture

Vertical root fracture

Physical trauma from sports-related injuries or seizureinduced trauma, if directed accordingly, may cause a vertical root fracture in a tooth. This fracture occurred in a 7-year-old child secondary to trauma from a grand mal seizure.

0
Other commentsSign in to post comments. You don't have an account? Sign up now!

Recent MCQs















Show more MCQs

Recent flashcard sets















Show more flashcards