MEDizzy
MEDizzy
Zunaira saleh
Zunaira salehabout 1 year ago
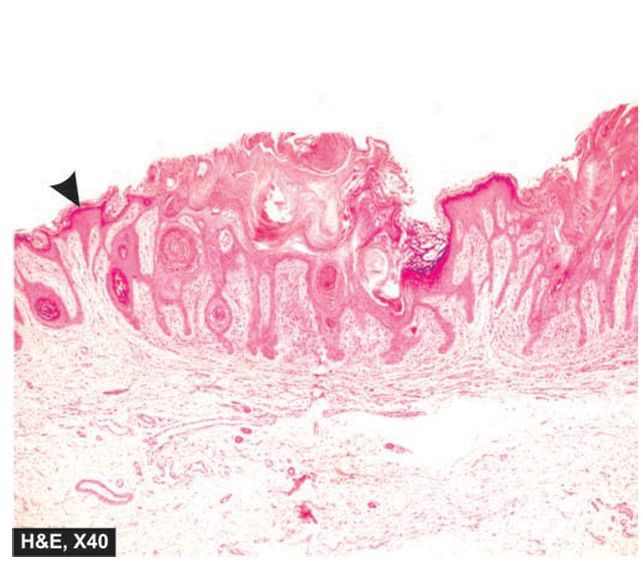
Seborrheic keratosis.

Seborrheic keratosis.

The border of the elevated lesion at the lateral margin is in a straight line from the normal uninvolved epidermis (arrow). The other features include papillomatosis, hyperkeratosis and acanthosis.

0
Other commentsSign in to post comments. You don't have an account? Sign up now!

Recent MCQs















Show more MCQs

Recent flashcard sets















Show more flashcards