MEDizzy
MEDizzy
Zunaira saleh
Zunaira salehabout 1 year ago
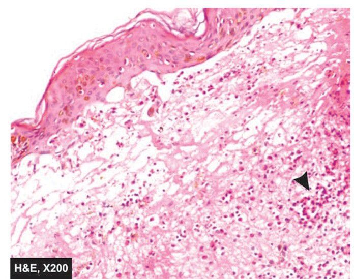
Dermatitis herpetiformis.

Dermatitis herpetiformis.

The tips of dermal papillae show neutrophilic microabscess (arrow) causing dermo-epidermal separation at tips.

0
Other commentsSign in to post comments. You don't have an account? Sign up now!

Recent MCQs















Show more MCQs

Recent flashcard sets















Show more flashcards