Feed
Library
Learning
Discuss
Leaderboard
Journal
Sign in
Login
Sign up
Sign in
Feed
Library
Learning
Discuss
Leaderboard
Journal
Zunaira saleh
about 1 year ago
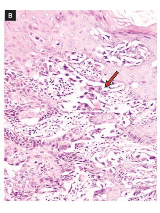
Paget’s diseases of the breast.
There are clefts in the epidermal layers containing large tumour cells (arrow).
Disease
Breast
Pagets
0
0
0
Other comments
Sign in
to post comments. You don't have an account?
Sign up now!
Related posts
Primary kidney disease
Periodontal disease
Fabry disease
Symptoms of Alpha-1 Antitrypsin deficiency
Pagets disease
Paget’s disease.
Paget’s disease of bone
Pagets disease
Addison's Disease
Rheumatoid disease
Recent MCQs
Show more MCQs
Recent flashcard sets
Show more flashcards
Feed
Learn
Add
Search
Discuss