MEDizzy
MEDizzy
Zunaira saleh
Zunaira salehabout 1 year ago
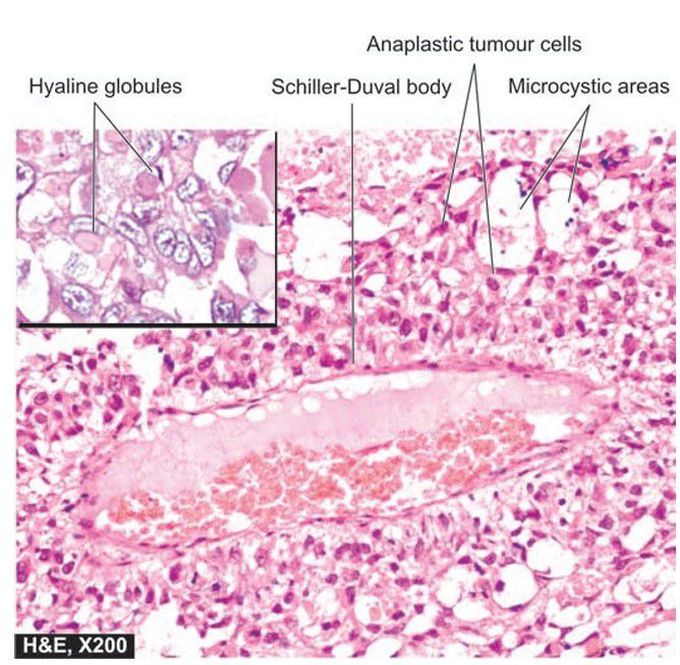
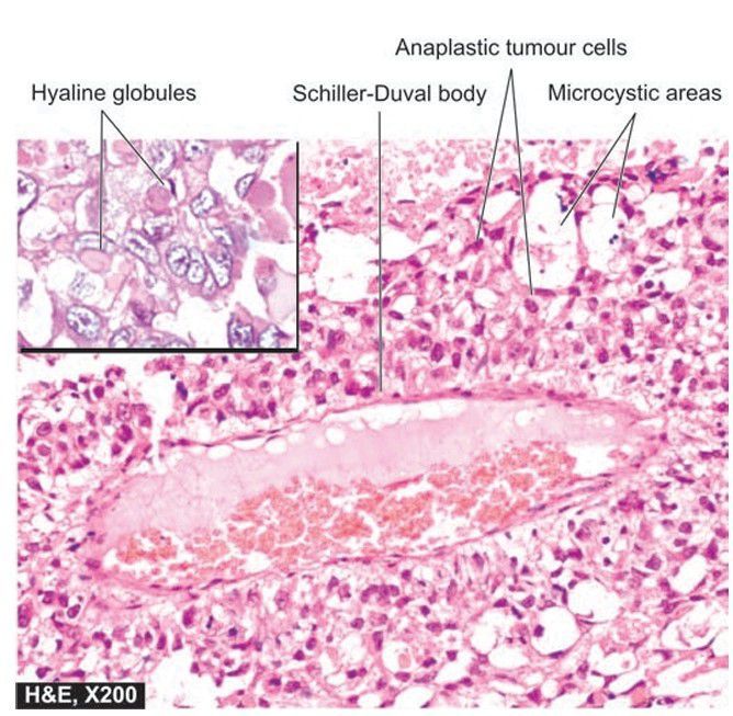
Endodermal sinus (yolk sac) tumour ovary.

Endodermal sinus (yolk sac) tumour ovary.

The tumour has microcystic pattern and has highly anaplastic tumour cells. Several characteristic Schiller-Duval bodies are present. Inset shows intra- and extracellular hyaline globules.

0
Other commentsSign in to post comments. You don't have an account? Sign up now!

Recent MCQs















Show more MCQs

Recent flashcard sets















Show more flashcards