
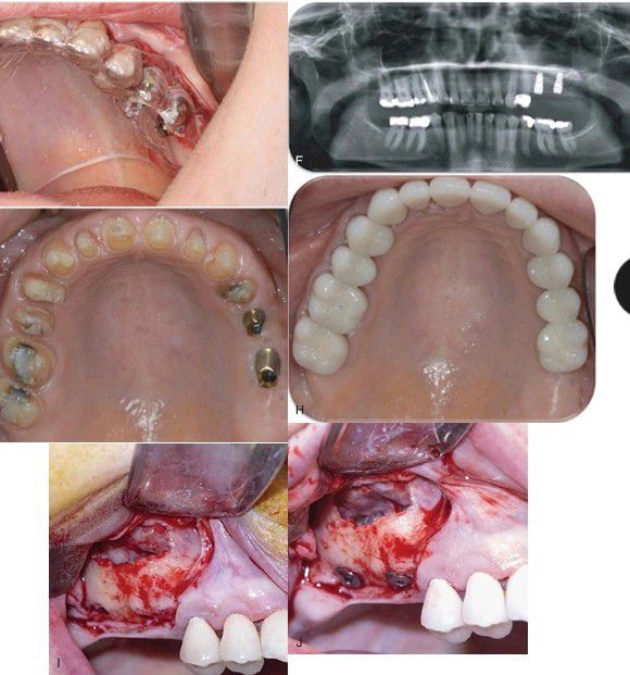
, cont’d (E) Implant placement using a surgical stent as a secondary procedure 5 months after the sinus augmentation was completed. (F) Postsurgical Panorex showing implant placement into the augmented left maxillary sinus. (G) Intraoral photo of prepared teeth and custom titanium implant abutments. (H) Final restorations in place. (I) Lateral bone window provides access; the sinus membrane is elevated and when enough native ridge is present for stability the implants can be placed at the time of sinus elevation. (J) Implants are placed through the native ridge and into the sinus.