Feed
Library
Learning
Discuss
Leaderboard
Journal
Sign in
Login
Sign up
Sign in
Feed
Library
Learning
Discuss
Leaderboard
Journal
Zunaira saleh
about 1 year ago
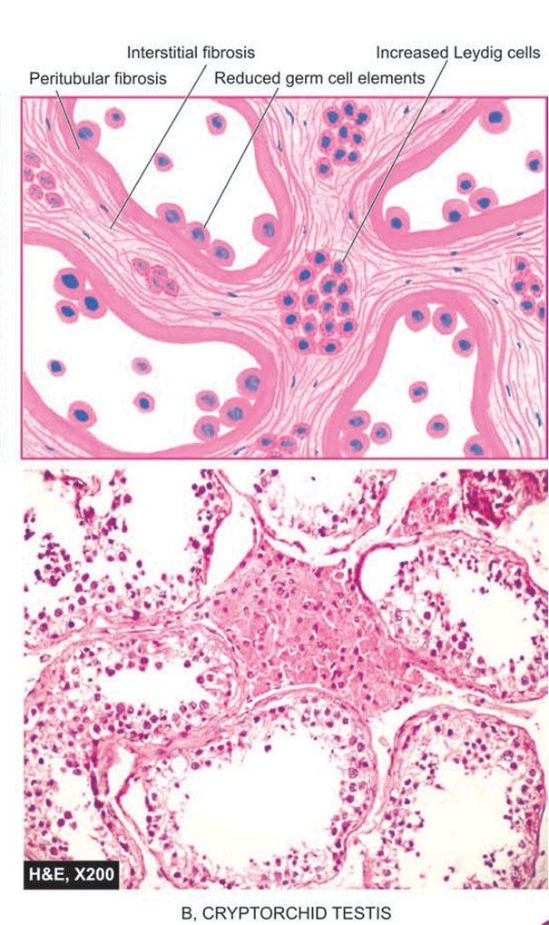
Cryporchid testis
Microscopic appearance of cryptorchid testis.
Histology
Testis
Cryptorchid
0
0
0
Other comments
Sign in
to post comments. You don't have an account?
Sign up now!
Related posts
Microscopic appearance of dentinogenesis imperfecta
Shell tooth.
Early interproximal caries.
Early interproximal caries
Caries of dentine
A translucent zone
Gingival fibromatosis.
Gingival fibromatosis
Dentigerous cyst.
Dentigerous cyst.
Recent MCQs
Show more MCQs
Recent flashcard sets
Show more flashcards
Feed
Learn
Add
Search
Discuss