MEDizzy
MEDizzy
Zunaira saleh
Zunaira salehabout 1 year ago
Microscopic changes in kidney in hypertension

Microscopic changes in kidney in hypertension

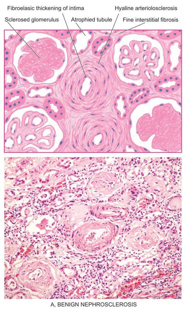
. Benign nephrosclerosis. The vascular changes are hyaline arteriolosclerosis and intimal thickening of small blood vessels in the glomerular tuft. The parenchymal changes include sclerosed glomeruli, tubular atrophy and fine interstitial fibrosis.

0
Other commentsSign in to post comments. You don't have an account? Sign up now!

Recent MCQs















Show more MCQs

Recent flashcard sets















Show more flashcards