MEDizzy
MEDizzy
Zunaira saleh
Zunaira salehabout 1 year ago
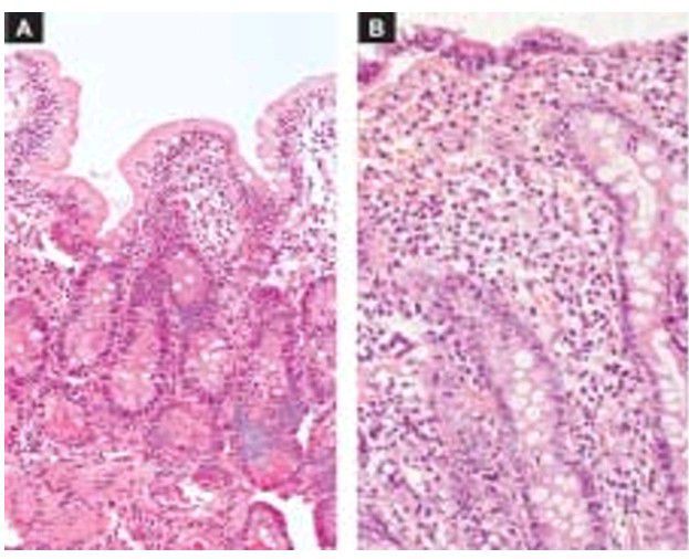
Villus atrophy

Villus atrophy

A, Partial villus atrophy. There is shortening and blunting of the villi with reduction in their height. There is crypt hyperplasia. B, Subtotal villous atrophy. There is near total flattening of the villi and crypt hyperplasia.

0
Other commentsSign in to post comments. You don't have an account? Sign up now!

Recent MCQs















Show more MCQs

Recent flashcard sets















Show more flashcards