Feed
Library
Learning
Discuss
Leaderboard
Journal
Sign in
Login
Sign up
Sign in
Feed
Library
Learning
Discuss
Leaderboard
Journal
Zunaira saleh
about 1 year ago
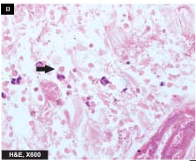
Amoebic ulcers large intestine
Trophozoites of Entamoeba histolytica are seen at the margin of ulcer (arrow).
Intestine
Ulcers
Amoeba
0
0
0
Other comments
Sign in
to post comments. You don't have an account?
Sign up now!
Related posts
Benign chronic peptic ulcer.
Chronic peptic ulcer.
Infarct small intestine, microscopic appearance.
Intestinal tuberculosis
Amoebic ulcers large intestine
Lymphoma small intestine.
Aphthous Ulcers I
Aphthous Ulcers II
Absorptive and storage functions of the large intestine.
Symptoms of mucositis
Recent MCQs
Show more MCQs
Recent flashcard sets
Show more flashcards
Feed
Learn
Add
Search
Discuss