MEDizzy
MEDizzy
Zunaira saleh
Zunaira salehabout 1 year ago
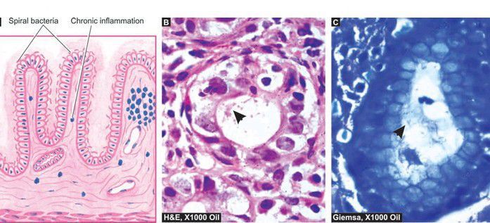
Histologic appearance of H. pylori chronic gastritis.

Histologic appearance of H. pylori chronic gastritis.

A, Diagrammatic representation. B, H&E stained section. C, Demonstration of H. pylori in Giemsa stain.

0
Other commentsSign in to post comments. You don't have an account? Sign up now!

Recent MCQs















Show more MCQs

Recent flashcard sets















Show more flashcards