MEDizzy
MEDizzy
Zunaira saleh
Zunaira salehabout 1 year ago
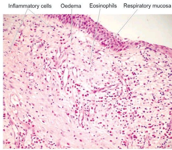
Allergic polyp nose.

Allergic polyp nose.

The overlying mucosa is covered partly by respiratory and partly by squamous metaplastic epithelium. The underlying stroma is oedematous and contains inflammatory cells with prominence of eosinophils.

0
Other commentsSign in to post comments. You don't have an account? Sign up now!

Recent MCQs















Show more MCQs

Recent flashcard sets















Show more flashcards