MEDizzy
MEDizzy
Zunaira saleh
Zunaira salehabout 1 year ago
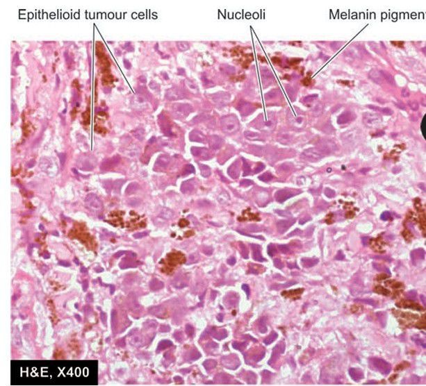
Uveal melanoma

Uveal melanoma

. The tumour cells are epithelioid in appearance having prominent nucleoli and contain black finely granular melanin pigment in the cytoplasm.

0
Other commentsSign in to post comments. You don't have an account? Sign up now!

Recent MCQs















Show more MCQs

Recent flashcard sets















Show more flashcards