Feed
Library
Learning
Discuss
Leaderboard
Journal
Sign in
Login
Sign up
Sign in
Feed
Library
Learning
Discuss
Leaderboard
Journal
Zunaira saleh
over 1 year ago
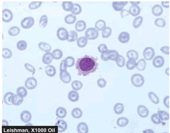
Hairy cell leukaemia
Peripheral blood shows presence of a leukaemic cells with hairy cytoplasmic projections
Cell
Leukemia
Hairy
0
0
0
Other comments
Sign in
to post comments. You don't have an account?
Sign up now!
Related posts
Cell divisions during spermatogenesis.
Cell injection therapy
Bone Marrow Transplant Procedure, Uses and Benefits
The Cell
Parts of Plant Cells
Hairy leukoplakia
Peripheral giant cell granuloma
Peripheral giant cell granuloma
Hairy leukoplakia
Hairy leukoplakia
Recent MCQs
Show more MCQs
Recent flashcard sets
Show more flashcards
Feed
Learn
Add
Search
Discuss