MEDizzy
MEDizzy
Zunaira saleh
Zunaira salehabout 1 year ago
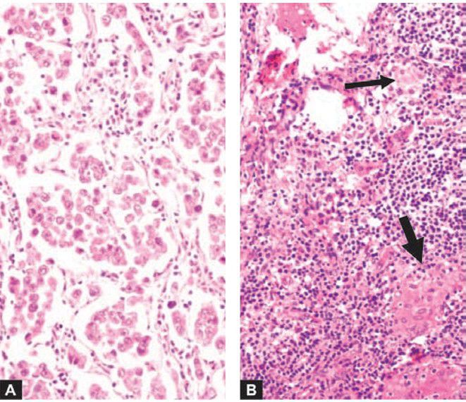
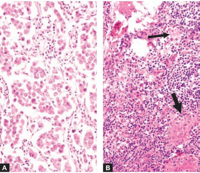
Inflammatory reaction in the stroma of the tumour

Inflammatory reaction in the stroma of the tumour

. A, Lymphocytic reaction in seminoma testis. B, Granulomatous reaction (thick arrow) in Hodgkin’s lymphoma (thin arrow for RS cell).

0
Other commentsSign in to post comments. You don't have an account? Sign up now!

Recent MCQs















Show more MCQs

Recent flashcard sets















Show more flashcards