Feed
Library
Learning
Discuss
Leaderboard
Journal
Sign in
Login
Sign up
Sign in
Feed
Library
Learning
Discuss
Leaderboard
Journal
Zunaira saleh
about 1 year ago
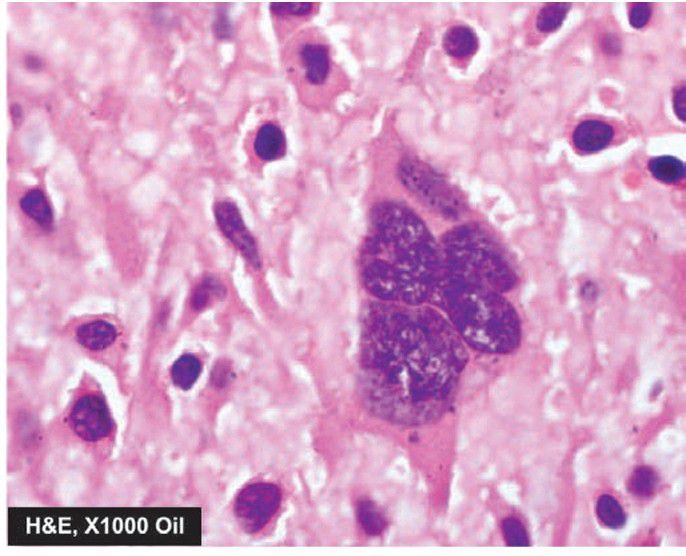
tumour giant cell
A multinulceate tumour giant cell in osteosarcoma.
Cell
Tumour
Giant
0
0
0
Other comments
Sign in
to post comments. You don't have an account?
Sign up now!
Related posts
Glandular cell
Oxyntic cell
Cell divisions during spermatogenesis.
Cell injection therapy
The Cell
Parts of Plant Cells
CALCIFYING EPITHELIAL ODONTOGENIC TUMOUR
Lipoma
Peripheral giant cell granuloma
Peripheral giant cell granuloma
Recent MCQs
Show more MCQs
Recent flashcard sets
Show more flashcards
Feed
Learn
Add
Search
Discuss